en Santiago
Recupera tu sonrisa con resultados duraderos
En Clínica Pose somos especialistas en implantología dental avanzada en Santiago y Santa Comba, con más de 30 años de experiencia y tecnología de última generación. Ofrecemos soluciones personalizadas para sustituir piezas dentales perdidas y devolver la funcionalidad, estética y confianza a tu sonrisa.
Nuestros tratamientos de implantes se realizan con técnicas mínimamente invasivas, garantizando procedimientos indoloros, recuperación rápida y resultados naturales y duraderos.
Tratamientos a medida
¿ Qué es la implantología dental?
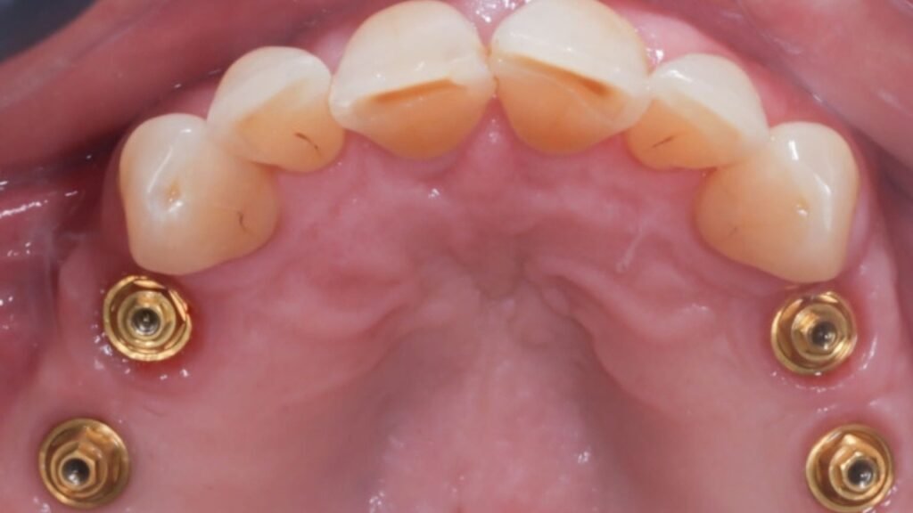
La implantología dental es la especialidad que se encarga de reemplazar los dientes perdidos mediante implantes, estructuras de titanio que actúan como raíces artificiales e integran con el hueso maxilar.
Gracias a los avances tecnológicos, hoy es posible colocar los implantes con precisión milimétrica, mejorando la estabilidad y reduciendo los tiempos de cicatrización. En Clínica Pose realizamos estudios digitales previos para planificar cada tratamiento con total seguridad y eficacia en Santiago y Santa Comba.
Un implante dental es una raíz artificial de titanio que se integra con el hueso maxilar para sostener una corona o prótesis dental. Es la opción más segura, duradera y estética para reemplazar piezas dentales ausentes o deterioradas. En Clínica Pose utilizamos materiales 100% biocompatibles, que garantizan una integración natural y sin riesgo de rechazo.
La cirugía guiada por ordenador nos permite planificar la colocación de los implantes utilizando tecnología 3D, logrando una colocación precisa y sin incisiones innecesarias. Este procedimiento reduce el tiempo quirúrgico y mejora la recuperación postoperatoria.
Indicada para pacientes con ansiedad o miedo al dentista, la sedación consciente proporciona un estado de relajación total sin perder la consciencia. En Clínica Pose utilizamos una mezcla controlada de oxígeno y óxido nitroso, garantizando un tratamiento cómodo, seguro y sin estrés.
Cuando el paciente no cuenta con suficiente volumen óseo, realizamos un injerto de hueso para regenerar la zona y asegurar la correcta sujeción del implante. Esta técnica es fundamental para lograr resultados estables y duraderos.
Con la técnica de carga inmediata es posible colocar una prótesis provisional sobre los implantes el mismo día de la cirugía, permitiendo al paciente volver a sonreír y masticar desde el primer día.
Un implante dental es una raíz artificial de titanio que se integra con el hueso maxilar para sostener una corona o prótesis dental. Es la opción más segura, duradera y estética para reemplazar piezas dentales ausentes o deterioradas. En Clínica Pose utilizamos materiales 100% biocompatibles, que garantizan una integración natural y sin riesgo de rechazo.
CUIDAMOS TU SONRISA
¿Quieres que revisemos tu caso?
Especialistas en
cuidar tu sonrisa
En Clínica Pose contamos con más de 30 años de experiencia en odontología y estamos en constante evolución, desarrollando técnicas avanzadas en implantología dental.
Entre ellas destaca la cirugía guiada por ordenador, que permite colocar los implantes en la posición exacta previamente planificada mediante tecnología 3D. También ofrecemos sedación consciente, administrada mediante mascarilla nasal con una mezcla de oxígeno y protóxido de nitrógeno (conocido como gas hilarante). Este tratamiento proporciona confort y relajación durante procedimientos cortos, sin perder el contacto con el entorno, mejorando el bienestar y la colaboración del paciente.
En Clínica Pose nos caracterizamos por un trato totalmente personalizado, adaptando cada tratamiento a las necesidades individuales de nuestros pacientes y garantizando resultados estéticos y funcionales en nuestras clínicas de Santiago y Santa Comba.

Ventajas de los implantes dentales
En Clínica Pose aplicamos las técnicas más innovadoras en implantología para garantizar una integración ósea óptima y resultados estéticos duraderos en Santiago y Santa Comba.


Dientes más blancos y brillantes.
Hablar de rehabilitación y estética dental es esencial hoy en día. La odontología ya no se limita a tratar caries o extraer piezas dentales; ahora también busca restaurar sonrisas completas y funcionales. La rehabilitación oral con implantes permite recuperar la estética y la funcionalidad masticatoria en pacientes con pérdida parcial o total de dientes. Nuestro enfoque combina precisión funcional y estética, logrando resultados armónicos y duraderos.
En Clínica Pose somos pioneros en el uso de Diseño Digital de la Sonrisa (DSD), una herramienta que permite planificar digitalmente cada tratamiento y visualizar el resultado final antes de comenzar.






